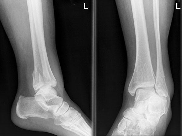
Hat doch was, so ein Knöchel ... hier geht die Bruch-Geschichte weiter